… Soll man nicht zuerst an Zebras denken, sondern an Pferde! Soll heißen, die wahrscheinlichste Differenzialdiagnose ist auch statistisch am wahrscheinlichsten. Viele Rassen haben typische Erkrankungen und diese gilt es zuerst auszuschließen.
Aber ab und zu kommt leider doch ein „Zebra“ daher.
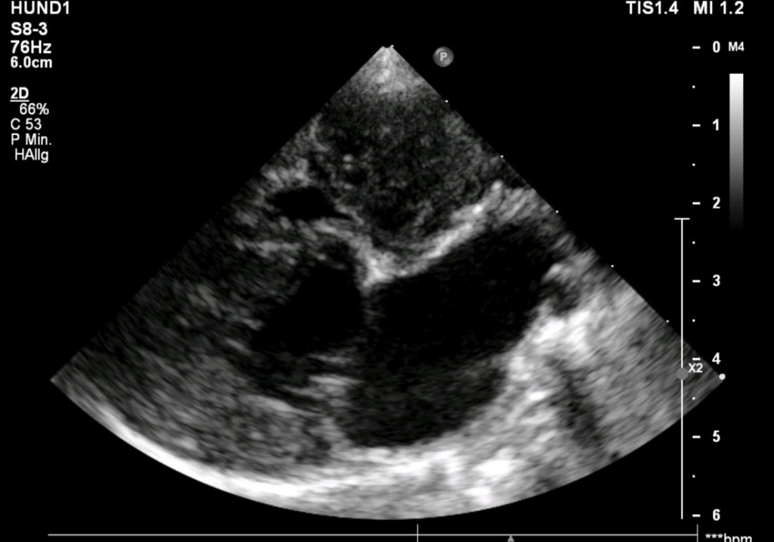
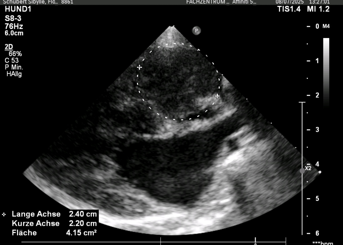
Chihuahua „Peppi“ sollte vor einer anstehenden Zahnsanierung noch mal seine bekannte Mitralendokadiose, sprich Herzklappenerkrankung, gecheckt bekommen. Doch was Frau Dr. Eulitz entdeckte, hatte leider mit dem Vorbefund nichts mehr zu tun. In Peppis rechtem Herzen war ein Tumor gewachsen. Obwohl dieser die rechten Herzanteile deutlich komprimierte und sogar ein leichter Perikarderguss vorlag, war Peppi für seine 13Jahre erstaunlich fit.
Da seine Besitzer ihm seine gute Zeit noch so lange wie möglich erhalten wollten, bekam Peppi eine Chemotherapie und eine dendritische Zelltherapie. Solche Maßnahmen werden stets nur durchgeführt, wenn sie die Patienten gut vertragen und sie die Lebensqualität nicht einschränken.
Dank dem tollen Support der Carola-Apotheke Chemnitz konnten wir die Chemotherapie sicher und unkompliziert verabreichen.
Alles Gute kleiner Peppi!





