Auch wenn dieser Sommer sehr wechselhaftes Wetter geboten hat, sind sog. „Reisekrankheiten“ dank der Klimaerwärmung nun bei uns zuhause.
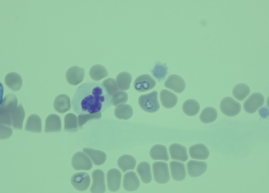
Babesien und Anaplasmen sind dank der milden Winter in denen ihre Zeckenwirte problemlos überleben in Sachsen inzwischen heimisch. Hunde (und sehr selten Katzen) erkranken zum Teil hochakut und lebensbedrohlich, da beide Parasitenarten das Blut befallen und schwere Anämien, Thrombozytopenien und Hämolysen auslösen. Dadurch können sie ein Verbluten der infizierten Tiere auslösen oder Leber- und Nierenversagen durch Hämolyse verursachen.
Die Erkrankung kann akut oder chronisch-mild verlaufen und ist manchmal schwer zu erkennen. Ein Blutausstrich und ein Gennachweis der Erreger (sog. PCR) sind zum Erkennen der Infektionen nötig. Außerdem sollte ein prophylaktischer GANZJÄHRIGER Zeckenschutz aufgetragen werden.
Diese Jahr haben wir im Fachzentrum mehrere sehr schwere Fälle retten können, jedoch beginnt das „Lebenretten“ am besten bei der Prophylaxe zuhause!
Liebe Kolleginnen und Kollegen, bestehen Unsicherheiten in der Aufarbeitung solcher Fälle?
Dann laden wir Sie hiermit herzlich zum kommenden Tierärztestammtisch am 25.10.2025 zu uns ein! Thema: Vector borne disease mit Idexx.








