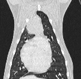
Diese Frage wurde uns schon oft gestellt und die Antwort lautet: Ja, die kann es geben. Anhand eines guten Röntgenbildes kann eine intrathorakale Umfangsvermehrung meist gut dargestellt werden, jedoch liefern uns nur das CT und eine Biopsie die endgültige Aussage, ob sich ein chirurgischer Eingriff als lebensverlängernd erweist.

Eine Gute Prognose haben:

  •  eine Masse, die auf EIN Areal der Lunge begrenzt ist oder sich gut zwischen den Lungenlappen abgrenzen lässt
  • eine Tumor-Art, die nicht generalisiert auftritt, wenig invasiv wächst und eine niedrige Metastaseneigung ausweist
  • eine „Masse“, die gar keine ist (Lungenlappentorsionen, Fremdkörper, Phlebs, Bullae, Atelektasen)

eine schlechte Prognose haben:

  • multiple Metastasen oder Systemtumore
  • invasiv wachsende Massen an den großen Gefäßen

Daher lohnt es sich nach der Diagnose auf dem Röntgenbild nochmal genauer hinzusehen.

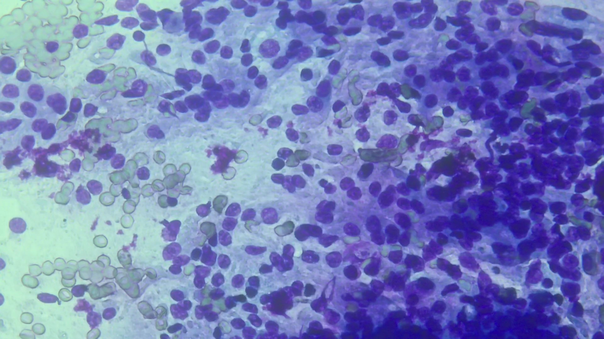
Hashtag, eine große Mischlingshündin, zeigt auf dem Röntgenbild ihres Haustierarztes eine große Masse im Thorax. Nach dem Staging mittels CT und Biopsie bei uns stand fest, eine Operation ist sinnvoll. Aus dem offenen Brustkorb wurde Hashtag ein mandarinengroßer Tumor entfernt. Die Narkose unter künstlicher Beatmung verlief problemlos. Nach Entfernung und dem Brustkorbverschluss unter Einlegen einer Thoraxdrainge, erholte sich Hashtag sehr schnell und wurde nach einigen Tagen entlassen.

Wir hoffen, dass sie mit ihrer tollen Familie noch ein langes, beschwerdefreies Leben vor sich hat.

Galerie: