Die Nickhaut, das sog. dritte Augenlid schützt das Auge und liegt normalerweise verborgen im nasalen Augenwinkel.
Sie fällt vor wenn das Auge tiefer als gewöhnlich in der Augenhöhle (Orbita) liegt oder mehr Gewebe in der Orbita ist als es sollte. Hier kann es sich um Abszess und Zysten, aber auch nicht selten Tumore handeln.
Weitere Abgrenzung gelingt dann mit Ultraschall bzw. CT und durch diese Verfahren gestützte Biopsien.
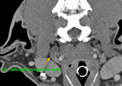
Bei Rottweiler Rocky war die Nickhaut bereits seit Wochen etwas vorgefallen und im Ultraschall erhärtet sich der Verdacht auf einen Tumor. Im CT konnte dann eine riesige Masse dargestellt werden und auch ein vergrößerter Lymphknoten. Die Biopsie ergab einen Tumor unklarer Herkunft, sodass wie zuerst keine sichere Prognose stellen konnten. Aber es sah nicht gut aus.
Doch Rockys Familie wollte nicht aufgeben. In einer mehrstündigen OP wurde zuerst der mediale Halslymphknoten entfernt und eine zeitweise Kompression an der Hauptschlagader angelegt zur Minimierung von Blutungen.
Danach mussten Teile des Schädelknochens und das Auge entfernt werden um den golfballgroßen Tumor zu extrahieren. Danach erfolgt der Wundverschluss am Kopf und Hals.
Nach 2 Tagen Schmerztropf konnte Rocky nach Hause entlassen werden und erholte sich weiter in den liebevollen Händen seiner Besitzer.
Und als der histologische Befund kam, freuten wir uns umso mehr, denn dieser bezeugt eine Tumorart (Meningiom) die wenig Metastaseneigung hat und vollständig entfernt werden konnte.
Nun hoffen wir, dass Rocky noch ganz viel Zeit bleibt, um seinen einäugigen Piratenstatus auszukosten.








